젊은 어머니가 몸에 밴 응급처치법 덕분에 딸의 목숨을 구했습니다.
영국 엄마 케일리 포터(28)씨는 1페니짜리 동전을 보면 아직도 가슴이 철렁합니다. 우리나라 100원 동전과 비슷한 크기의 페니 동전이 딸 스카일라(1)의 생명을 위협했던 것입니다.
케일리 씨는 최근 영국 미러와 인터뷰에서 “며칠 전 아이가 갑자기 숨도 못 쉬고 거품을 물며 괴로워하는데 저는 이유조차 짐작할 수가 없었습니다. 그 때, 예전에 배운 응급처치법이 떠올랐어요. 호흡 곤란 상태인 아이를 똑바로 눕히면 안 된다는 거였죠. 아이를 안고 등을 두드려 주며 응급 구조대가 올 때까지 기다렸습니다. 몇 분 안 되는 그 시간이 천 년처럼 느껴졌습니다”라고 말했습니다.
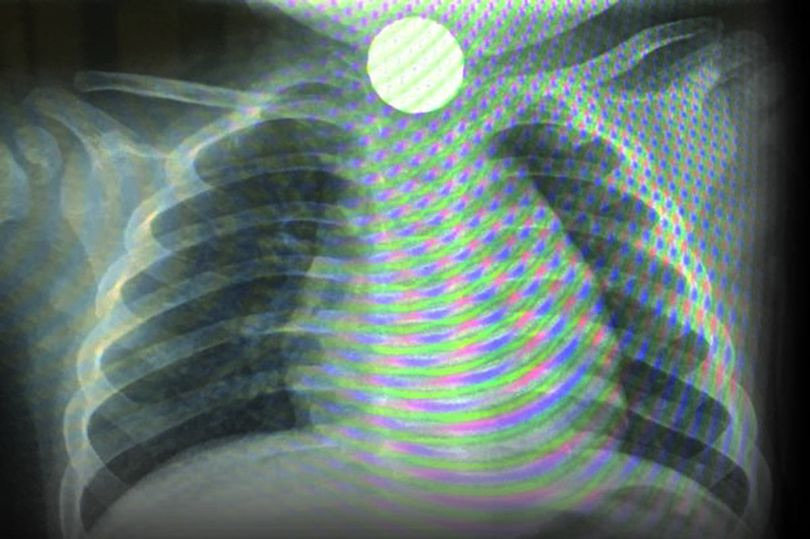
스카일라의 상태를 본 헐 로얄 병원 의사들은 알러지 반응 때문에 기도가 좁아졌을 가능성을 제일 먼저 내놓았습니다. 그러나 X레이 사진을 찍어 보니 선명한 원형 물체가 아기의 가슴 속에 자리잡고 있는 게 보였습니다.
영국 엄마 케일리 포터(28)씨는 1페니짜리 동전을 보면 아직도 가슴이 철렁합니다. 우리나라 100원 동전과 비슷한 크기의 페니 동전이 딸 스카일라(1)의 생명을 위협했던 것입니다.
케일리 씨는 최근 영국 미러와 인터뷰에서 “며칠 전 아이가 갑자기 숨도 못 쉬고 거품을 물며 괴로워하는데 저는 이유조차 짐작할 수가 없었습니다. 그 때, 예전에 배운 응급처치법이 떠올랐어요. 호흡 곤란 상태인 아이를 똑바로 눕히면 안 된다는 거였죠. 아이를 안고 등을 두드려 주며 응급 구조대가 올 때까지 기다렸습니다. 몇 분 안 되는 그 시간이 천 년처럼 느껴졌습니다”라고 말했습니다.
스카일라의 상태를 본 헐 로얄 병원 의사들은 알러지 반응 때문에 기도가 좁아졌을 가능성을 제일 먼저 내놓았습니다. 그러나 X레이 사진을 찍어 보니 선명한 원형 물체가 아기의 가슴 속에 자리잡고 있는 게 보였습니다.
케일리 씨는 “페니 동전이 걸려있다는 걸 본 순간 눈물이 터져 오열했어요”라고 말했습니다. 의사들도 깜짝 놀라 순간 말을 잃었습니다.
“전 그 때 제가 세상에서 가장 나쁜 부모가 된 것 같았어요. 제가 아이를 잘 보지 못해서 이런 일이 일어난 것 같아 눈물이 그치지 않았습니다. 의사들이 절 다독여 줄 줄 알았는데 아무도 그러지 않았습니다. 지금도 이 모든 게 제 탓인 것만 같습니다.”
하지만 케일리 씨가 없었으면 스카일라는 살아남지 못할 수도 있었습니다. 케일리 씨가 딸 등을 세게 두드려 준 덕분에 동전이 기도를 막지 않고 걸려 있던 것입니다. 아이를 바로 눕혀 놓았다가는 동전이 기도를 막을 수 있었습니다.
“전 그 때 제가 세상에서 가장 나쁜 부모가 된 것 같았어요. 제가 아이를 잘 보지 못해서 이런 일이 일어난 것 같아 눈물이 그치지 않았습니다. 의사들이 절 다독여 줄 줄 알았는데 아무도 그러지 않았습니다. 지금도 이 모든 게 제 탓인 것만 같습니다.”
하지만 케일리 씨가 없었으면 스카일라는 살아남지 못할 수도 있었습니다. 케일리 씨가 딸 등을 세게 두드려 준 덕분에 동전이 기도를 막지 않고 걸려 있던 것입니다. 아이를 바로 눕혀 놓았다가는 동전이 기도를 막을 수 있었습니다.
스카일라는 동전 제거 수술을 받고 무사히 회복했지만 케일리 씨는 아직도 그 날의 악몽에서 벗어나지 못하고 있습니다. 그녀는 페니 동전을 일부러 집으로 가져와 보관하고 있다고 말했습니다.
“제 앞에서 딸이 거품을 물며 쓰러지고 숨을 제대로 못 쉬는 장면을 어떻게 잊을 수 있겠어요. 스카일라가 크면 이 동전을 보여 줄 거예요. 물론 아이는 기억하지 못하겠지만, 전 이 동전을 볼 때마다 딸을 잃을까 봐 패닉에 빠졌던 그 때가 생각나겠죠. 늘 조심하자는 의미로 간직할 겁니다.”
케일리 씨는 지역 의회에 초보 부모들을 위한 응급처치 및 심폐소생술(CPR) 강의를 마련해 달라고 청원했습니다. 자신이 겪었던 고통을 다른 부모들이 겪지 않았으면 하는 바람 때문입니다.
“응급처치나 심폐소생술은 어렵지 않아요. 만약 제가 응급처치법을 몰랐다면 스카일라는 지금 제 곁에 없을 수도 있습니다. 모든 부모들이 꼭 배워야 합니다.”
“제 앞에서 딸이 거품을 물며 쓰러지고 숨을 제대로 못 쉬는 장면을 어떻게 잊을 수 있겠어요. 스카일라가 크면 이 동전을 보여 줄 거예요. 물론 아이는 기억하지 못하겠지만, 전 이 동전을 볼 때마다 딸을 잃을까 봐 패닉에 빠졌던 그 때가 생각나겠죠. 늘 조심하자는 의미로 간직할 겁니다.”
케일리 씨는 지역 의회에 초보 부모들을 위한 응급처치 및 심폐소생술(CPR) 강의를 마련해 달라고 청원했습니다. 자신이 겪었던 고통을 다른 부모들이 겪지 않았으면 하는 바람 때문입니다.
“응급처치나 심폐소생술은 어렵지 않아요. 만약 제가 응급처치법을 몰랐다면 스카일라는 지금 제 곁에 없을 수도 있습니다. 모든 부모들이 꼭 배워야 합니다.”